Channels / Cyprus Animals
Cyprus Animals
@cyanimals · supergroup
Igor Y
2025-01-20 05:52 UTC
Vitaly
Сон 23/7 😁
Гулять 1/24 😁
надо было хорей кажется заводить а не кошек) эти хотя бы час вместо четырех суммарно за день
Kseniia
2025-01-20 06:24 UTC
Igor Y
надо было хорей кажется заводить а не кошек) эти хотя бы час вместо четырех суммарно за день
У меня как-то был
Такие они прикольные конечно
Но такие вонючие, это ужас .
Но говорят вроде бы , что если кастрировать, то запаха не будет.
Но я не дождалась момента , когда уже можно и отдала его кому-то (
Такие они прикольные конечно
Но такие вонючие, это ужас .
Но говорят вроде бы , что если кастрировать, то запаха не будет.
Но я не дождалась момента , когда уже можно и отдала его кому-то (
Leona
2025-01-20 06:31 UTC
Kseniia
У меня как-то был
Такие они прикольные конечно
Но такие вонючие, это ужас .
Но говорят вроде бы ...
у меня был кастрированный, все равно вонючий)
они еще железы прочищают часто, тоже такое себе удовольствие)
зато забавные да, если бы не аллергия, завела бы еще
он один раз целую капусту стащил, она весила раза в два больше наверное, чем сам хорек 😅
игрушки таскал как собачка
но у нас наверное спокойный был, по рассказам других людей это дьяволята в пушистой шкуре
они еще железы прочищают часто, тоже такое себе удовольствие)
зато забавные да, если бы не аллергия, завела бы еще
он один раз целую капусту стащил, она весила раза в два больше наверное, чем сам хорек 😅
игрушки таскал как собачка
но у нас наверное спокойный был, по рассказам других людей это дьяволята в пушистой шкуре
Kseniia
2025-01-20 06:33 UTC
Leona
у меня был кастрированный, все равно вонючий)
они еще железы прочищают часто, тоже такое себе удовол...
😂😂
У меня еще и кусался периодически
Мог просто подбежал и за ногу укусить и укусить прям до крови , и побежать дальше себе
Зараза такая
Но их запах это самое ужасное
Потом я заведу норку )
У меня еще и кусался периодически
Мог просто подбежал и за ногу укусить и укусить прям до крови , и побежать дальше себе
Зараза такая
Но их запах это самое ужасное
Потом я заведу норку )
Норки вообще не пахнут
Была ручная
Я купила ее с бойни , недели 3 было ей отроду
Но потом один раз на ночь закрыла в комнате , потому что спать не давала и бегала гугукала по всему дому
И за ночь она стала дикой и начала кусаться
Но кусаются они в 20 раз сильнее чем хорьки 🤦♀️
Пальцы насквозь прокусывала
Была ручная
Я купила ее с бойни , недели 3 было ей отроду
Но потом один раз на ночь закрыла в комнате , потому что спать не давала и бегала гугукала по всему дому
И за ночь она стала дикой и начала кусаться
Но кусаются они в 20 раз сильнее чем хорьки 🤦♀️
Пальцы насквозь прокусывала
Kseniia
2025-01-20 06:44 UTC
Мораль : берите лучше котов все таки 😂😂😂
Катя
2025-01-20 07:25 UTC
Anastasía
У меня 2 недели назад появился совсем маленький котёнок, месяца 2 с небольшим, с обеих сторон по бо...
Ой. Расскажите потом, пожалуйста.
Вот оно как шрамы. Но не могу сфоткать - шерсть закрывает их и не видно
Вот оно как шрамы. Но не могу сфоткать - шерсть закрывает их и не видно
Yulia
Лимассол, найден кот с желтым ошейником
Лежит у кафе Астри с утра
Ласков, но из угла не выходит - чт...
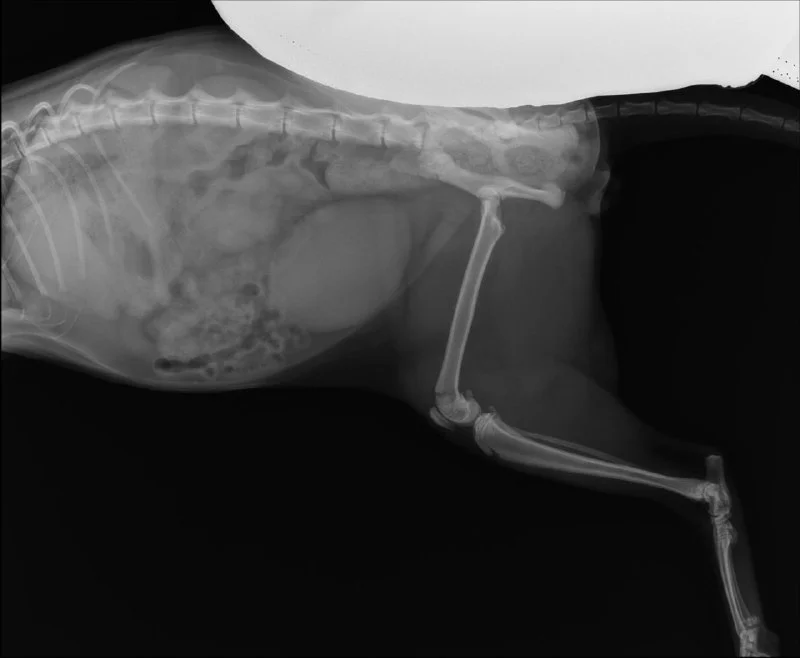
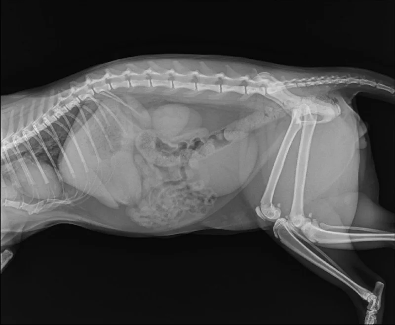
О коте, найденном в субботу в старом городе:
Кастрирован, на вид около 6 лет, весит 7кг. Чрезвычайно ласковый, все врачи описывают его как "annoyingly good" - как только видит человека, сразу требует внимания.
Перелом бедренной кости, требуется операция. В остальном здоров и бодр, ест, пьёт, ходит в туалет.
Что ему нужно:
- Прежде всего найти хозяина (он почти наверняка домашний)
- До тех пор - передержка после операции
- Ну и желательно скинуться, я один всё не потяну. Текущий баланс: -192.6. Можно кидать на револют revolut.me/toomanynights с пометкой "для Сёмы". Его наверняка зовут по-другому, а Сёма, потому что 7кг.
Кастрирован, на вид около 6 лет, весит 7кг. Чрезвычайно ласковый, все врачи описывают его как "annoyingly good" - как только видит человека, сразу требует внимания.
Перелом бедренной кости, требуется операция. В остальном здоров и бодр, ест, пьёт, ходит в туалет.
Что ему нужно:
- Прежде всего найти хозяина (он почти наверняка домашний)
- До тех пор - передержка после операции
- Ну и желательно скинуться, я один всё не потяну. Текущий баланс: -192.6. Можно кидать на револют revolut.me/toomanynights с пометкой "для Сёмы". Его наверняка зовут по-другому, а Сёма, потому что 7кг.
Pet Taxi
2025-01-20 08:42 UTC
Pet Taxi:
Bolt now offers Pet Service.
Download the app
Use Credit card as method of payment
Available from 08:00 to 23:00
Bolt теперь предлагает Pet Service.
Загрузите приложение
Используйте кредитную карту как способ оплаты
Доступно с 08:00 до 23:00
Bolt now offers Pet Service.
Download the app
Use Credit card as method of payment
Available from 08:00 to 23:00
Bolt теперь предлагает Pet Service.
Загрузите приложение
Используйте кредитную карту как способ оплаты
Доступно с 08:00 до 23:00
Anastasiya Bardzheeva
2025-01-20 08:44 UTC
Здравствуйте! Есть ли тут владельцы самоедов?
Очень нравится порода, но переживаем, что они плохо переносят жаркий климат. Поделитесь опытом, пожалуйста, как самоеды чувствуют себя на Кипре?)
Очень нравится порода, но переживаем, что они плохо переносят жаркий климат. Поделитесь опытом, пожалуйста, как самоеды чувствуют себя на Кипре?)
Aliona K
2025-01-20 09:01 UTC
Basil Vlasyuk
О коте, найденном в субботу в старом городе:
Кастрирован, на вид около 6 лет, весит 7кг. Чрезвычай...
Добавьте пожалуйста скрины диагноза и счета с клиники если есть.
По поводу хозяина - пробовали по району искать узнавать знает ли кота кто-то?
По поводу хозяина - пробовали по району искать узнавать знает ли кота кто-то?
Aliona K
Добавьте пожалуйста скрины диагноза и счета с клиники если есть.
По поводу хозяина - пробовали по р...
📎 Webpage (not supported)
Да, конечно, в течение часа пришлю всё что есть.
Хотим расклеить объявления напротив кафешки, где его нашли, и у основных ветклиник, но до этого ещё не дошли руки.
Выкладывал объявление на ФБ: https://www.facebook.com/share/p/1A8GbJPjXy/
Хотим расклеить объявления напротив кафешки, где его нашли, и у основных ветклиник, но до этого ещё не дошли руки.
Выкладывал объявление на ФБ: https://www.facebook.com/share/p/1A8GbJPjXy/
Aliona K
2025-01-20 09:21 UTC
Basil Vlasyuk
Да, конечно, в течение часа пришлю всё что есть.
Хотим расклеить объявления напротив кафешки, где е...
Как будете клеить, поспрашивать ещё может в круасантери напротив и рядом в магазинах, может кота кто-то знает или знают кто в районе кормит котов и кого можна спросить.
Basil Vlasyuk
2025-01-20 09:25 UTC
Aliona K
Как будете клеить, поспрашивать ещё может в круасантери напротив и рядом в магазинах, может кота кто...
Спасибо, хорошая идея!
Yuliana
2025-01-20 09:41 UTC
Natalia Reis
Если хотите, могу скинуть вам свой инстаграмм аккаунт. Я заводчик мейн кунов
мне скиньте, пожалуйста, тоже:) у меня уже есть кун, привезенный с собой, но два всегда лучше:)) не знала даже, что на Кипре есть питомник
Basil Vlasyuk
О коте, найденном в субботу в старом городе:
Кастрирован, на вид около 6 лет, весит 7кг. Чрезвычай...
No text content
Basil Vlasyuk
О коте, найденном в субботу в старом городе:
Кастрирован, на вид около 6 лет, весит 7кг. Чрезвычай...
No text content
Basil Vlasyuk
О коте, найденном в субботу в старом городе:
Кастрирован, на вид около 6 лет, весит 7кг. Чрезвычай...
No text content
Basil Vlasyuk
О коте, найденном в субботу в старом городе:
Кастрирован, на вид около 6 лет, весит 7кг. Чрезвычай...
No text content
Basil Vlasyuk
О коте, найденном в субботу в старом городе:
Кастрирован, на вид около 6 лет, весит 7кг. Чрезвычай...
No text content
Basil Vlasyuk
О коте, найденном в субботу в старом городе:
Кастрирован, на вид около 6 лет, весит 7кг. Чрезвычай...
No text content
Vilena Artamonova (Enot)
2025-01-20 10:13 UTC
Basil Vlasyuk
No text
Тут закрытый перелом не кости а коленного сустава, сильно выраженная бронхиальная картина. Антибиотик нужен
Он писает? На снимке мочевой как дыня переполнен
Он писает? На снимке мочевой как дыня переполнен
Basil Vlasyuk
2025-01-20 10:15 UTC
Vilena Artamonova (Enot)
Тут закрытый перелом не кости а коленного сустава, сильно выраженная бронхиальная картина. Антибиоти...
Спасибо за корректировку, видимо трудности перевода.
Он писал после рентгена
Он писал после рентгена
Vilena Artamonova (Enot)
2025-01-20 10:16 UTC
Basil Vlasyuk
Спасибо за корректировку, видимо трудности перевода.
Он писал после рентгена
Кот шикарный,пусть поправляется 💋😻
Yuliana
2025-01-20 11:06 UTC
Vilena Artamonova (Enot)
Уши были ровно купированы треугольником? Если края были неровное,то они не были стерилизованы
далеко не все веты режут ровным треугольником. У всех моих стерилизованных уши просто надрезаны, по-разному...
одну кстати кто-то после НГ тоже прооперировал по непонятному поводу. У нее были проблемы с зубами, слюни текли, хотела везти к вету. А тут раз, она пропала. А через пару дней с выбритым животом и швом на нем. Но и зубы тоже полечили...
Вот я долго думала, что бы это значило и зачем шов на пузе. Разрез на ухе виден невооруженным глазом.
Пока не придумала ничего адекватного, но кошка нормально себя чувствует, слава богу
одну кстати кто-то после НГ тоже прооперировал по непонятному поводу. У нее были проблемы с зубами, слюни текли, хотела везти к вету. А тут раз, она пропала. А через пару дней с выбритым животом и швом на нем. Но и зубы тоже полечили...
Вот я долго думала, что бы это значило и зачем шов на пузе. Разрез на ухе виден невооруженным глазом.
Пока не придумала ничего адекватного, но кошка нормально себя чувствует, слава богу
Valentina
2025-01-20 11:23 UTC
Скажите, пожалуйста, проверяют ли факт регистрации собаки на Кипре при выезде с острова?
Лендлорд ленится регистрировать животинку, думаю, какие могут быть у этого последствия.
Лендлорд ленится регистрировать животинку, думаю, какие могут быть у этого последствия.
Юлия Ладунова
2025-01-20 11:33 UTC
Valentina
Скажите, пожалуйста, проверяют ли факт регистрации собаки на Кипре при выезде с острова?
Лендлорд ле...
Животное регистрируют владельцы животного, не лендлорд
Valentina
Скажите, пожалуйста, проверяют ли факт регистрации собаки на Кипре при выезде с острова?
Лендлорд ле...
📎 Webpage (not supported)
Ответ на ваш вопрос здесь: https://t.me/cyanimals/181824. Регистрировать собаку должен владелец, не лендлорд
Svetlana
2025-01-20 11:37 UTC
Valentina
Скажите, пожалуйста, проверяют ли факт регистрации собаки на Кипре при выезде с острова?
Лендлорд ле...
Нет
Valentina
2025-01-20 12:12 UTC
Юлия Ладунова
Животное регистрируют владельцы животного, не лендлорд
Разумеется. Но нам нужно сделать допник к договору про возможность проживания собаки, а без лендлорда я этого не могу сделать.
Lidia
2025-01-20 12:17 UTC
Valentina
Разумеется. Но нам нужно сделать допник к договору про возможность проживания собаки, а без лендлорд...
конкретно для регистрации это не нужно
Татьяна
2025-01-20 12:20 UTC
Добрый день.кто то видел на кипре шарик роликовый с мятой,который крепится на стену или мебель,чтобы кот терся?
Elena
2025-01-20 12:25 UTC
Татьяна
Добрый день.кто то видел на кипре шарик роликовый с мятой,который крепится на стену или мебель,чтобы...
Я купила похожие игрушки-вертушки в Джамбо и Волте (цена разная, качество одинаковое или почти) - посередине место тереться, по бокам - лопасти, куда вставляется мята. Может в Волте среди игрушек и чисто чесалки есть)
Татьяна
Добрый день.кто то видел на кипре шарик роликовый с мятой,который крепится на стену или мебель,чтобы...
No text content
Всем привет!
В четверг нашла вот такую малышку, ей 3,5-4 месяца.
Ищу ей домик. Если вы или ваши друзья в поиске котика, напишите мне 🤍
Осмотрена ветеринаром, пропили необходимые лекарства, вакцинировали. Врач сказал, что очень здоровая. Она безумно ласковая и тактильная, совершенно не травмированная и не запуганная. В общем, чудо)
В четверг нашла вот такую малышку, ей 3,5-4 месяца.
Ищу ей домик. Если вы или ваши друзья в поиске котика, напишите мне 🤍
Осмотрена ветеринаром, пропили необходимые лекарства, вакцинировали. Врач сказал, что очень здоровая. Она безумно ласковая и тактильная, совершенно не травмированная и не запуганная. В общем, чудо)
Anastasiia 🍬 S
2025-01-20 12:34 UTC
Yuliana
далеко не все веты режут ровным треугольником. У всех моих стерилизованных уши просто надрезаны, по-...
Очень странно) Может кто-то учится на подпольного ветеринара?)
Знаете, как у мафиози, когда нельзя везти в клинику члена банды, его везут к подпольному врачу.
Такой себе мафиози ветеринар.
Знаете, как у мафиози, когда нельзя везти в клинику члена банды, его везут к подпольному врачу.
Такой себе мафиози ветеринар.
Yuliana
2025-01-20 12:35 UTC
Anastasiia 🍬 S
Очень странно) Может кто-то учится на подпольного ветеринара?)
Знаете, как у мафиози, когда нельзя в...
ааа, поняла:) вы про того, что просто зачем-то швы на живот наложил:)
Anastasiia 🍬 S
2025-01-20 12:36 UTC
Yuliana
ааа, поняла:) вы про того, что просто зачем-то швы на живот наложил:)
Ага)
Там выше еще несколько кейсов таких. Мистика.
Там выше еще несколько кейсов таких. Мистика.
Vilena Artamonova (Enot)
2025-01-20 12:53 UTC
Valentina
Разумеется. Но нам нужно сделать допник к договору про возможность проживания собаки, а без лендлорд...
Вы это можете сами написать и лендлорду на подпись
Valentina
2025-01-20 13:05 UTC
Vilena Artamonova (Enot)
Вы это можете сами написать и лендлорду на подпись
Да написала я.
Pet Taxi
2025-01-20 13:30 UTC
👍
Julia Kopyova
2025-01-20 13:46 UTC
Ребят, кто часто ездит в приюты.. Есть ли како-нибудь корм, которы подойдет большинству приютских собак? Слышала, что часто последствия в виде диареи случаются.
CARE project
2025-01-20 13:48 UTC
Julia Kopyova
Ребят, кто часто ездит в приюты.. Есть ли како-нибудь корм, которы подойдет большинству приютских со...
Смена сухого корма, это всегда чаще всего диареи
В целом советуют собакам минимум 25% белка
Можно принести любой влажный корм им будет легче смешивать сухой корм собакам
Но конечно, если хотите приносить какой-то определенный, то лучше спрашивать у каждого приюта. Так как они могут заказывать у поставщиков определенный корм подходящий им по цене, но в свободном доступе его будет найти тяжелее например
В целом советуют собакам минимум 25% белка
Можно принести любой влажный корм им будет легче смешивать сухой корм собакам
Но конечно, если хотите приносить какой-то определенный, то лучше спрашивать у каждого приюта. Так как они могут заказывать у поставщиков определенный корм подходящий им по цене, но в свободном доступе его будет найти тяжелее например
Julia Kopyova
2025-01-20 13:48 UTC
CARE project
Смена сухого корма, это всегда чаще всего диареи
В целом советуют собакам минимум 25% белка
Можно ...
Спасибо
Elena
2025-01-20 13:50 UTC
Julia Kopyova
Ребят, кто часто ездит в приюты.. Есть ли како-нибудь корм, которы подойдет большинству приютских со...
Спрашивала раньше специально в Williams (теперь Robert’s) shelter - они подтвердили, что от самых дешевых кормов диарея, и если такие корма привозят в подарок, они их понемножку подмешивают. А сами закупали Canun. Но, конечно, лучше спросить там, куда планируете ехать.
Julia Kopyova
2025-01-20 13:51 UTC
Elena
Спрашивала раньше специально в Williams (теперь Robert’s) shelter - они подтвердили, что от самых де...
Спасибо)
Алина
2025-01-20 14:34 UTC
Всем привет) просветите меня, пожалуйста)
у меня за окном уже почти месяц коты сходят с ума будто. очень громко мяукают, постоянно дерутся. и всегда все коты разные, потому что как таковой стаи около моего дома нет. это сейчас сезон какой-то или что? в прошлом году такого не замечала, хотя как раз жила прям около большой стаи котиков.
у меня за окном уже почти месяц коты сходят с ума будто. очень громко мяукают, постоянно дерутся. и всегда все коты разные, потому что как таковой стаи около моего дома нет. это сейчас сезон какой-то или что? в прошлом году такого не замечала, хотя как раз жила прям около большой стаи котиков.
Vladimir Scheglov
2025-01-20 14:37 UTC
Алина
Всем привет) просветите меня, пожалуйста)
у меня за окном уже почти месяц коты сходят с ума будто....
Да, через несколько месяцев котята будут на каждом углу. Если есть возможность стерилизовать то, самое время
Алина
2025-01-20 14:38 UTC
Vladimir Scheglov
Да, через несколько месяцев котята будут на каждом углу. Если есть возможность стерилизовать то, сам...
спасибо. я что-то думала, что сезон весной начинается
Vladimir Scheglov
2025-01-20 14:41 UTC
Алина
спасибо. я что-то думала, что сезон весной начинается
Из-за климата сезон на Кипре по сути весь год, просто пик приходится на весну и осень. Одна кошка без проблем принесёт три помета за год
Yuliana
2025-01-20 14:47 UTC
Алина
спасибо. я что-то думала, что сезон весной начинается
в этом году, говорят, весна ранняя.. Миндаль вон уже цветет, сама видела, котов, занятых созданием новых котят, тоже уже видела:(
Artemiy
2025-01-20 15:03 UTC
Оставляли кота дома на 2 недели, и к нам приходила его проведать @gloriakvitka12345 . Все отлично, рекомендую
User 491130101
2025-01-20 15:06 UTC
Добрый день, ищу щеночка ротвейлера, может кто-то знает заводчика?
Unknown
Добрый день, ищу щеночка ротвейлера, может кто-то знает заводчика?
📎 Webpage (not supported)
https://www.cypruskennelclub.org/articles-en?article=rottweiler
Вот список зарегистрированных на Кипре заводчиков
Вот список зарегистрированных на Кипре заводчиков
Kristina Z.
2025-01-20 16:18 UTC
Это просто невероятно. Нет слов.
📎 Webpage (not supported)
Natalia Kolokolnikova
2025-01-20 16:27 UTC
Kristina Z.
Это просто невероятно. Нет слов.
вроде, это пока ничего не значит
есть срок, который можно держать под стражей
если обвинение не предъявлено — человека отпускают
это не значит, что оно не будет предъявлено позже
будем надеяться, что позже предъявят
есть срок, который можно держать под стражей
если обвинение не предъявлено — человека отпускают
это не значит, что оно не будет предъявлено позже
будем надеяться, что позже предъявят
Маринэ
2025-01-20 16:28 UTC
Natalia Kolokolnikova
вроде, это пока ничего не значит
есть срок, который можно держать под стражей
если обвинение не пред...
А может он вообще сказал, что собаку у него украли. Поди докажи!
Natalia Kolokolnikova
2025-01-20 16:28 UTC
Маринэ
А может он вообще сказал, что собаку у него украли. Поди докажи!
ну да, для этого тоже надо собрать больше доказательств, нужно время
Я прочитала об этой собаке несколько дней назад.
Выжил! Выходили!!
Выжил! Выходили!!
Маринэ
2025-01-20 17:04 UTC
Во, говорила же - отнекивается паскуда! Хотя соседа я тоже не исключаю из подозреваемых
Elmira
2025-01-20 17:20 UTC
Неделю назад пропал кот. У него чип был поставлен в Украине. Неужели его нельзя зарегистрировать на Кипре? Мне только что сказали в ветклинике, что его надо было менять на новый местный чип.
Это правда?
Это правда?
Vladimir Scheglov
2025-01-20 17:28 UTC
Elmira
Неделю назад пропал кот. У него чип был поставлен в Украине. Неужели его нельзя зарегистрировать на ...
Не правда, просто нужно зарегистрировать чип в вет. департаменте
Anastasiya Bardzheeva
Здравствуйте! Есть ли тут владельцы самоедов?
Очень нравится порода, но переживаем, что они плохо п...
No text content
Anastasiya Bardzheeva
Здравствуйте! Есть ли тут владельцы самоедов?
Очень нравится порода, но переживаем, что они плохо п...
Приехала из России щенком год назад
Переносят климат так же как и остальные собаки и люди
Им жарко))
Но на деле может быть даже чуть лучше чем гладкошерстным и нам
Ибо шерсть занимается теплорегуляцией (зимой сохраняет тепло, летом лишнего не впускает)
Если дома сидите/спите с кондеем, то собака с вами
Гулять пытаться раньше утром и позднее вечером (да и вам самим явно проще в это время находиться на улице)
Использовать защиту для лап и охлаждающий жилет
И всегда носить с собой воду
Но это стоит делать для всех собак
Единственное что смущает, это довольно часто слышать, что бедная собака, ей же наверное так жарко))
Но правда нас не было на Кипре в самую жару, может когда было под 40, то было хуже
Переносят климат так же как и остальные собаки и люди
Им жарко))
Но на деле может быть даже чуть лучше чем гладкошерстным и нам
Ибо шерсть занимается теплорегуляцией (зимой сохраняет тепло, летом лишнего не впускает)
Если дома сидите/спите с кондеем, то собака с вами
Гулять пытаться раньше утром и позднее вечером (да и вам самим явно проще в это время находиться на улице)
Использовать защиту для лап и охлаждающий жилет
И всегда носить с собой воду
Но это стоит делать для всех собак
Единственное что смущает, это довольно часто слышать, что бедная собака, ей же наверное так жарко))
Но правда нас не было на Кипре в самую жару, может когда было под 40, то было хуже
Anastasiya Bardzheeva
Здравствуйте! Есть ли тут владельцы самоедов?
Очень нравится порода, но переживаем, что они плохо п...
No text content
📎 Webpage (not supported)
Всем привет! На этом углу (https://maps.app.goo.gl/tiKYR7Askf6oxdYc9?g_st=com.google.maps.preview.copy) сидит рыжий кот с красным ошейником, очень очень ласковый и чистый ( похоже, что домашний)
Никто не терял? 🐈
Никто не терял? 🐈
Katty Shcheglova
2025-01-20 18:37 UTC
Anastasiiadis
Всем привет! На этом углу (https://maps.app.goo.gl/tiKYR7Askf6oxdYc9?g_st=com.google.maps.preview.co...
Этот кот из кафе рядом - Bakery Kafeneio
Anastasiia 🍬 S
2025-01-20 19:20 UTC
Basil Vlasyuk
О коте, найденном в субботу в старом городе:
Кастрирован, на вид около 6 лет, весит 7кг. Чрезвычай...
Подскажите, хозяев нашли?
Basil Vlasyuk
2025-01-20 19:27 UTC
Anastasiia 🍬 S
Подскажите, хозяев нашли?
Полный отчёт дам завтра, а то чот сил нет(
Вкратце:
- кота прооперировали, всё хорошо, сейчас отходит от наркоза
- нашли временную передержку
- хозяина пока не нашли
- расклеили объявления в районе , где его нашли, и у Animal health (если есть желающие присоединиться - скажите, пришлю объявление для распечатки)
- краундфаундинг прошёл восхитительно, но он пока продолжается, операция дорогая (отчёт с доходами и расходами опять же завтра)
Вкратце:
- кота прооперировали, всё хорошо, сейчас отходит от наркоза
- нашли временную передержку
- хозяина пока не нашли
- расклеили объявления в районе , где его нашли, и у Animal health (если есть желающие присоединиться - скажите, пришлю объявление для распечатки)
- краундфаундинг прошёл восхитительно, но он пока продолжается, операция дорогая (отчёт с доходами и расходами опять же завтра)
📄 Document (not supported)
Френарос. Около стадиона сидит молодая собака( девочка) на шее цепь порванная. С места уходить не хочет
Отдам
3 воротника, размер 10 (на мелкую кошку или котенка подростка)
Лоток, брали котенку, специально низкий и маленький, кошка выросла. Состояние отличное
Лимассол, Неаполис
3 воротника, размер 10 (на мелкую кошку или котенка подростка)
Лоток, брали котенку, специально низкий и маленький, кошка выросла. Состояние отличное
Лимассол, Неаполис
Отдам
Помпа для питьевого фонтанчика (к нашему не подошла, абсолютно новая)
6 новых фильтров для фонтанчика с алиэкспресс
Фонтанчик из Джамбо не работает (сгорела помпа), с упаковкой фильтров (4 штуки)
Лимассол, Неаполис
Помпа для питьевого фонтанчика (к нашему не подошла, абсолютно новая)
6 новых фильтров для фонтанчика с алиэкспресс
Фонтанчик из Джамбо не работает (сгорела помпа), с упаковкой фильтров (4 штуки)
Лимассол, Неаполис
📄 Document (not supported)
Я не могу к сожалению у себя оставить, она на месте сидит, я ее покормила, написала в чаты различные , возможно кто то откликнется . Муж оказывается ее еще днем заметил на этом же месте
Натали
2025-01-20 21:09 UTC
Френарос. Около стадиона сидит молодая собака( девочка) на шее цепь порванная. С места уходить не хочет
Маринэ
2025-01-20 21:16 UTC
Натали
Я не могу к сожалению у себя оставить, она на месте сидит, я ее покормила, написала в чаты различные...
А водички оставили?
Airat🐋
2025-01-20 21:21 UTC
Привет всем, хотим помочь уличной кошке, у нее нет глаз и видимо понос, чихает и немного есть сопли из носа- видимо инфекция, в какую ветеринарку ее лучше отнести на лечение и сразу спрошу- есть ли с передержкой если понадобиться? Себе не можем взять, у нас есть кот
Pjola
2025-01-20 21:54 UTC
Airat🐋
Привет всем, хотим помочь уличной кошке, у нее нет глаз и видимо понос, чихает и немного есть сопли ...
Смотря какой город. Если Лим, то лучше в Animal Health, там скидки дворовым делают.
Airat🐋
2025-01-20 21:55 UTC
Pjola
Смотря какой город. Если Лим, то лучше в Animal Health, там скидки дворовым делают.
Лимассол
Вася Ш.
2025-01-20 23:57 UTC
Здравствуйте! Никому не попадались объявления о потерянной собаке в Лимассоле, в районе Агиос Николаос, Агиас Иринис, около склавенитиса? Среднего/большого размера, худенькая и с ошейником, но не проходит. По группам в фб не нашла
97 messages on this day